Jeff Abolofia DDS PS
 
 
    Here are some examples of the excellent quality dental care that we are proud to provide to our patients.  Whether it is something simple like amalgam or composite fillings or something more complex like an implant or a bridge or a crown;  we will provide you with the best possible and most advanced dental care.

Clinical Photographs

4 Unit Bridge on the Right Side of the Midline
A Single Crown on the Right to Match the Natural One on the Left
Dentistry with a Heart
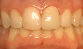
Two of our Natural Looking Crowns on the Left.  Can you guess which ones they are ?